Proven Effectiveness in Stem Cell Culture 

HiDef-B8 has been rigorously tested and validated: 


Long-Term Maintenance:

  • Our standard hiPSC line 19c3 has been cultured for 100+ passages, maintaining expression of key markers for undifferentiated status SSEA4 and TRA-1-60 (validated via flow cytometry).
  • PSCs exhibit hESC-like morphology and normal karyotype.


Patient-Derived iPSCs:

  • HiDef-B8 has been used to generate hiPSC lines from 37 patients using established protocols, all maintaining expression of SSEA4 and TRA-1-60 in culture (up to passage 65).
  • Cultured in HiDef-B8, hiPSCs maintained hESC-like morphology and positive immunofluorescent staining for SSEA4, POU5F1, SOX2, and TRA-1-60; and showed a stable karyotype in long-term culture


Flow cytometry analysis showing the expression of undifferentiated markers in hiPSC line 19c3 cultured in B8 medium from passage (p) 21 to p131 (left), and in 37 individual hiPSC lines derived in B8 from p12 to p65 (right).


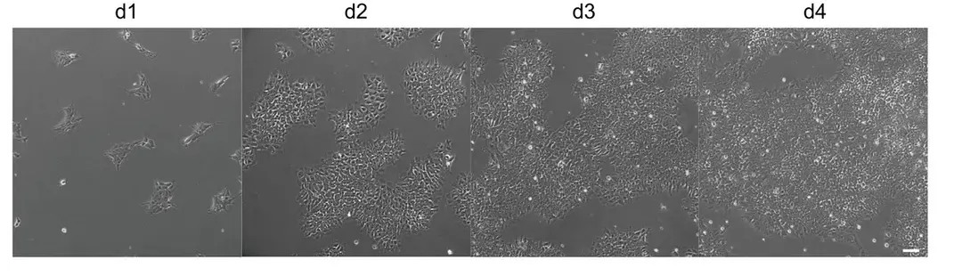
Phase-contrast images of hiPSC line 19c3 p44 cultured in B8. Scale bar, 100 mm


Expression of markers of undifferentiated status in various B8-derived hiPSC lines. Scale bar, 100 mm.


Representative G-banding karyotype analysis of four hiPSC lines derived in B8


Register here for recent updates, events, webinars and product releases from OLS


​​​​​​​​​​

Webinar Registration